
Esofagite é mais frequentemente causada por refluxo gastroesofagiano (RGE). As esofagites de causa infecciosa predominam nos pacientes com algum grau de imunodeficiência devido à quimioterapia, transplante de órgãos ou síndrome da imunodeficiência adquirida (AIDS). A Candida albicans é o patógeno predominante e pode fazer parte da flora normal do indivíduo. A colonização progride para infecção (candidíase ou monilíase) quando as defesas locais e/ou sistêmicas são inadequadas para prevenir a invasão do epitélio. Os fatores predisponentes incluem infecção pelo HIV, diabetes mellitus, leucemias e linfomas, uso de antibioticoterapia de amplo espectro, terapêutica antineoplásica, corticoterapia (incluindo os corticoides inalatórios na asma ou na DPOC) e transplante de medula óssea ou de órgãos sólidos. Fatores locais também podem contribuir, tais como esclerose sistêmica, obstrução do esôfago por tumor, acalásia, e a DRGE.
O exame mais utilizado para o diagnóstico é a endoscopia digestiva. As lesões esbranquiçadas com grumos são muito sugestivas de infecção por Candida. O diagnóstico diferencial deve ser feito com herpes simplex e citomegalovírus. Nessa imagem endoscópica se observam pequenas placas esbranquiçadas no terço médio do esôfago.
*****
Esophagitis is most often caused by gastroesophageal reflux (GERD). The infectious causes of esophagitis predominate in patients with some degree of immunodeficiency due to chemotherapy, organ transplantation or acquired immunodeficiency syndrome (AIDS). Candida albicans is the predominant pathogen and may be part of the individual's normal flora. Colonization progresses to infection when local and / or systemic defenses are inadequate to prevent invasion of the epithelium. Predisposing factors include HIV infection, diabetes mellitus, leukemias and lymphomas, use of broad-spectrum antibiotic therapy, antineoplastic therapy, corticosteroids (including inhaled corticosteroids in asthma or COPD), and bone marrow or solid organ transplantation. Local factors may also contribute, such as systemic sclerosis, obstruction of the esophagus by tumor, achalasia, and GERD.
The most commonly used diagnostic test is digestive endoscopy. Whitish lesions with lumps are very suggestive of Candida infection. Differential diagnosis should be made with herpes simplex and cytomegalovirus. In this endoscopic image, there are small whitish plaques in the middle third of the esophagus.

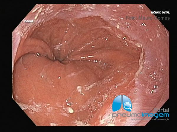
Odinofagia ou disfagia são as queixas principais. Queimação retroesternal ou dor pode ocorrer intermitentemente. O sangramento gastrointestinal é raro. Alguns pacientes apresentam apenas náuseas e vômitos, sem outras queixas mais específicas. Febre não é comum. Nessa imagem endoscópica observa-se que na porção distal do esôfago a mucosa se apresenta edemaciada e nacarada, com perda do padrão vascular habitual e a presença de erosões planas longitudinais características de esofagite por refluxo.
*****
Odynophagia or dysphagia are the main complaints. Retrosternal burning or pain may occur intermittently. Gastrointestinal bleeding is rare. Some patients have only nausea and vomiting, with no other more specific symptoms. Fever is not common. In this endoscopic image it is observed that in the distal portion of the esophagus the mucosa is swollen, with loss of the usual vascular pattern and the presence of erosions characteristic of reflux oesophagitis.

A monilíase esofágica pode ser acompanhada pela monilíase oral, também conhecida como “sapinho”, como o ilustrado nesse caso. Recomenda-se como prevenção, após o uso do corticoide inalado, a higiene oral com o enxágue da boca e o gargarejo com água, sem realizar a deglutição após. O fluconazol é o medicamento de escolha para tratamento dos casos de esofagite por Candida.
*****
Esophageal moniliasis may be accompanied by oral moniliasis, as illustrated in this case. It is recommended to do the oral hygiene with the mouth rinse and gargle with water, without swallowing afterwards, as a means of preventing the disease after the use of the inhaled corticosteroid. Fluconazole is the drug of choice for treatment of cases of Candida esophagitis.
1 COMENTÁRIOS
Jorcelio Gurgel dos Santos
Leigo
Belo Horizonte - Minas Gerais - 08/06/2019 08:35DEIXE SEU COMENTÁRIO