
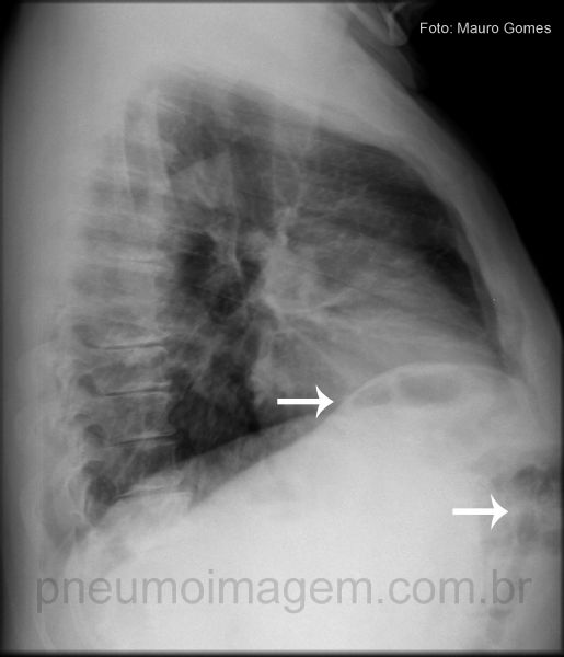
Sinal de Chilaiditi é um termo radiográfico usado quando o cólon (seta branca), intestino delgado ou estômago é visto interposto entre o fígado e o diafragma direito.
A radiografia de tórax mostra a presença das alças do cólon com gás abaixo do diafragma direito. Geralmente é assintomático e se constitui em achado radiológico (0,025% dos exames).
Chaves: the colon (white arrow), small intestine or stomach is seen interposed between the liver and right diaphragm.

Cólon interposto abaixo do diafragma e anteriormente (setas).
Quando esta alteração está associada a dor, náuseas, vômitos, distensão abdominal ou mesmo volvo de cólon sigmóide, pode ser causa rara de abdome agudo obstrutivo e ser chamada por Síndrome de Chilaiditi. Chaves: colon (white).
2 COMENTÁRIOS
Jorge Barroso de Moura
Algés - Casado - 10/01/2018 17:22Suzete Mendes
Pneumologia/Clínica Médica
Brasília - DF - 31/07/2017 21:26DEIXE SEU COMENTÁRIO