PESQUISA DE IMAGENS

 

Central de Downloads

Encontre em nossa área de downloads vários arquivos e PDF, PPT, WORD, entre outros. Todos os arquivos com relevância para sua pesquisa.

Sessão Retrô

Artigos que contam a história da pneumologia.

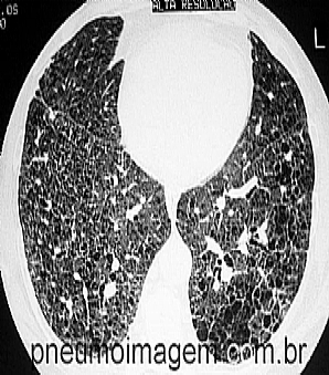
FAÇA O DOWNLOAD SOBRE AS ORIENTAÇÕES DA ATS AO PACIENTE COM FIBROSE PULMONAR.

Data de Publicação: 12/03/2014

FAÇA O DOWNLOAD SOBRE AS ORIENTAÇÕES DA ATS AO PACIENTE COM FIBROSE PULMONAR.A ATS desenvolveu um folheto para educação do paciente sobre a fibrose pulmonar idiopática que descreve como a doença lesa os pulmões, os sintomas, o diagnóstico e as estratégias de tratamento, incluindo o transplante de pulmão. O folheto está disponível para download gratuitamente, basta clicar aqui.

Compartilhe: