PESQUISA DE IMAGENS

 

Central de Downloads

Encontre em nossa área de downloads vários arquivos e PDF, PPT, WORD, entre outros. Todos os arquivos com relevância para sua pesquisa.

Sessão Retrô

Artigos que contam a história da pneumologia.

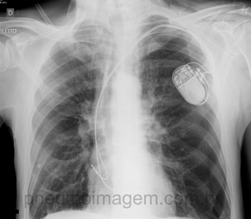
CASO CLÍNICO #11

CASO CLÍNICO #11Paciente do sexo masculino, 70 anos de idade, portador de DPOC classe C, apresentou quadro de hipersensibilidade do seio carotídeo e necessitou ser submetido à colocação de marca-passo cardíaco definitivo. Após o procedimento desenvolveu quadro de insuficiência respiratória aguda e necessitou ser transferido à UTI. Faça sua hipótese diagnóstica e deixe os seus comentários abaixo.

*****

Male patient, 70 years-old, COPD C, presented with carotid sinus hypersensitivity and needed to be submitted to the placement of permanent cardiac pacemaker. After the procedure he developed acute respiratory failure and needed to be transferred to the ICU. Leave your comments below.

Resposta

Veja a resposta / See the answer
Clique aqui/Click here


Compartilhe:
Diagnóstico é Pneumotórax a esquerda cujo tratamento é drenagem torácica fechada!!!!

Dennis Boscoli

Cirurgia Torácica

Paranavai - Paraná - 17/07/2014 20:43
Pneumotórax à E

Fernanda Pires

Pneumologista

Salvador - BA - 17/07/2014 20:14