Encontre em nossa área de downloads vários arquivos e PDF, PPT, WORD, entre outros. Todos os arquivos com relevância para sua pesquisa.
Sessão Retrô
Artigos que contam a história da pneumologia.
CASO CLÍNICO #13
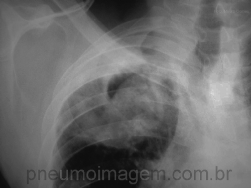
Paciente com histórico de tuberculose apresenta-se com hemoptise e a seguinte imagem radiológica. Qual o diagnóstico mais provável? Deixe os seus comentários abaixo.
*****
Patient with previous tuberculosis presents with hemoptysis and the following radiological image. What is the most probable diagnosis? Comment about the case below.
O pneumoimagem.com.br é destinado à informação e educação médica e dirigido exclusivamente aos médicos, profissionais de saúde e estudantes das áreas afins.
Ao continuar navegando você estará aceitando os Termos de Utilização do site e todas as regras nele contidas.
2 COMENTÁRIOS
Fernanda Pires
Pneumologista
Salvador - BA - 25/09/2014 18:35Dennis Boscoli
Cirurgia Toracica
Paranavai - Parana - 25/09/2014 18:18DEIXE SEU COMENTÁRIO