PESQUISA DE IMAGENS

 

Central de Downloads

Encontre em nossa área de downloads vários arquivos e PDF, PPT, WORD, entre outros. Todos os arquivos com relevância para sua pesquisa.

Sessão Retrô

Artigos que contam a história da pneumologia.

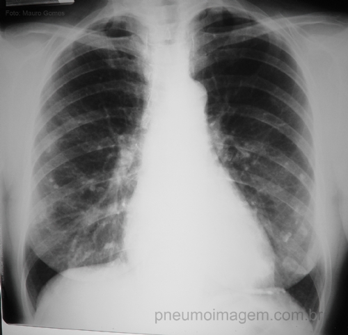
CASO CLÍNICO #14

CASO CLÍNICO #14Homem, 55 anos, trabalhador da construção civil, possui dispnéia aos grandes esforços e apresentou o RX de tórax abaixo em exame médico periódico. Qual a principal hipótese diagnóstica? Deixe seus comentários abaixo.

*****

Man, 55 years-old, construction worker, has dyspnea on exertion and the following chest radiography in periodic medical examination. What is the main diagnostic hypothesis? Let your comments below.

Resposta

Veja a resposta / See the answer
Clique aqui / Click here


Compartilhe: