PESQUISA DE IMAGENS

 

Central de Downloads

Encontre em nossa área de downloads vários arquivos e PDF, PPT, WORD, entre outros. Todos os arquivos com relevância para sua pesquisa.

Sessão Retrô

Artigos que contam a história da pneumologia.

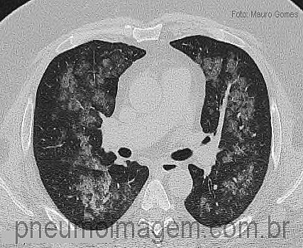
CASO CLÍNICO #16

CASO CLÍNICO #16Homem, 60 anos de idade, compareceu ao Serviço de Emergência com tosse e dispneia há um dia com hemoptise. Referiu episódio de refluxo com sufocamento noturno. Avalie este corte tomográfico realizado à admissão e formule sua hipótese diagnóstica. Deixe seus comentários abaixo.
***
Man, 60 years old, went to the emergency room with cough and dyspnea for one day with hemoptysis. He referred reflux episode with nightly suffocation. Evaluate this CT slice performed at admission and formulate your diagnostic hypothesis. Leave your comment below.

Resposta

Veja a resposta / See the answer:
clique aqui / click here


Compartilhe: