PESQUISA DE IMAGENS

 

Central de Downloads

Encontre em nossa área de downloads vários arquivos e PDF, PPT, WORD, entre outros. Todos os arquivos com relevância para sua pesquisa.

Sessão Retrô

Artigos que contam a história da pneumologia.

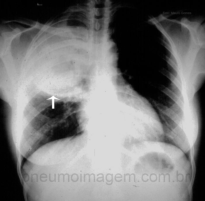
CASO CLÍNICO #17

CASO CLÍNICO #17Paciente do sexo feminino, 48 anos, tabagista, etilista crônico, apresenta-se com tosse com expectoração avermelhada, febre e dor torácica há 4 dias. Observe a radiografia de entrada, faça a sua hipótese diagnóstica e deixe seus comentários abaixo.

***

Female patient, 48, smoker and chronic alcoholic patient presents with cough with reddish sputum, fever and chest pain for 4 days. Note the chest X-ray, make your diagnosis and leave your comments below.

Resposta

Veja a resposta / See the answer:
Clique aqui / Click here


Compartilhe:
pneumonia por klebsiella

Luiza Doria

Pneumologia

aracaju - segipe - 28/01/2015 01:26
pneumonia do lobo pesado causada por klebsiella.

Luiza

Radiologia

Minas gerais - Minas Gerais - 25/01/2015 01:05
Abscesso Pulmonar

Dennis

cirurgia torácica

paranavai - Paraná - 23/01/2015 16:18
Abscesso Pulmonar

Dennis

cirurgia torácica

paranavai - Paraná - 23/01/2015 16:18