PESQUISA DE IMAGENS

 

Central de Downloads

Encontre em nossa área de downloads vários arquivos e PDF, PPT, WORD, entre outros. Todos os arquivos com relevância para sua pesquisa.

Sessão Retrô

Artigos que contam a história da pneumologia.

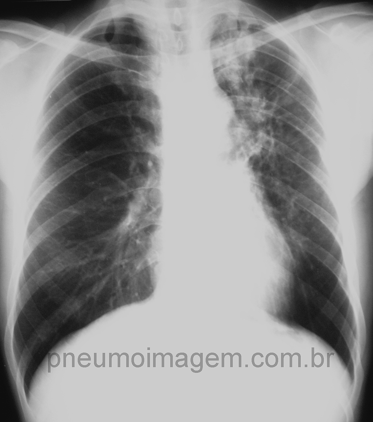
CASO CLÍNICO #19

CASO CLÍNICO #19Paciente com tosse persistente há um mês, febre e sudorese noturnas e perda do apetite. Qual o diagnóstico? Deixe seus comentários abaixo.

*****

Patient with persistent cough for a month, fever and night sweats and loss of appetite. What is the diagnosis? Leave your comment below.

Resposta

Veja a resposta / See the answer:
Clique aqui / Click here


Compartilhe:
Tuberculose

João José da Silva

Acadêmico de Medicina

Maceió - AL - 21/04/2015 09:41
Tuberculose

fernando Gil

pneumo

dourados - ms - 25/03/2015 18:20
Tuberculosis

Juan Pablo Almeida

Neumologo

Quito - Ecuador - 21/03/2015 02:38