PESQUISA DE IMAGENS

 

Central de Downloads

Encontre em nossa área de downloads vários arquivos e PDF, PPT, WORD, entre outros. Todos os arquivos com relevância para sua pesquisa.

Sessão Retrô

Artigos que contam a história da pneumologia.

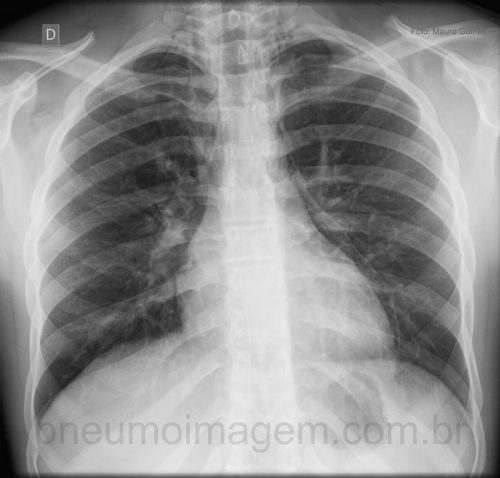
CASO CLÍNICO #2

CASO CLÍNICO #2Jovem do sexo masculino, 16 anos de idade, asmático leve sem tratamento regular, apresenta-se com intensa dispneia e dor torácica que se iniciou enquanto disputava uma partida de futebol. Qual o diagnóstico? Observe a imagem e deixe os seus comentários abaixo.

Young male, 16 years-old, mild asthmatic patient without regular treatment, presented with severe dyspnea and chest pain that began while disputing a soccer match. What is the diagnosis? Observe the image and leave your comments below.

Resposta

Veja a resposta do caso clínico de outubro no link abaixo e deixe os seus comentários!

Look the response of the clinical case of the month on the link below and leave your comments.

Resposta/Answer


Compartilhe:
Pneumomediastinum, Pneumopericardium

Amit Panjwani

Pul Med

13/10/2013 14:11
Interessante ver rotina de tórax e em decúbito lateral ...A princípio Pneumomediastino+ Enfisema

Alvaro Azevedo

Radiologia

Rio de Janeiro - R.J - 11/10/2013 02:45
Pneumopericardio

Emerson Carlos de Oliveira

Estudante Medicina

Asunción-PY - Central - 11/10/2013 01:32
Pneumomediatinum

Aashish Singh

MD Respiratory Medicine

10/10/2013 18:14
Pneumomediastino com enfisema sub-cutâneo

Wagner Nunes de Souza

Clinica Medica/Pneumologia/Medicina Intensiva

Rio de Janeiro - Rio de Janeiro - 10/10/2013 00:34
Parece-me Enfisema parasseptal

Sheila Chaves Raposo

Tec. Radiologia

Duque de Caxias - RJ - 10/10/2013 00:02
Pneumomediastino / Pneumopericárdio

Abdias B. De Mello Neto

Pneumologia

Santa Maria - RS - 09/10/2013 21:08
Sub cutaneous emphysema

Mauricio Flores

pediatric allergology

San Salvador, El SALVADOR - 09/10/2013 19:59