PESQUISA DE IMAGENS

 

Central de Downloads

Encontre em nossa área de downloads vários arquivos e PDF, PPT, WORD, entre outros. Todos os arquivos com relevância para sua pesquisa.

Sessão Retrô

Artigos que contam a história da pneumologia.

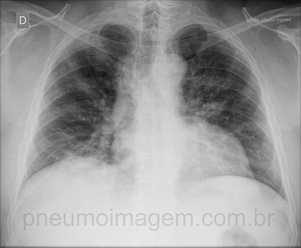
CASO CLÍNICO #21

CASO CLÍNICO #21Paciente do sexo masculino, 48 anos de idade, obeso, com quadro de dispneia, tosse e febre acompanhando episódio gripal. Nega tabagismo. Em 48h houve evolução para insuficiência respiratória. Observe a radiografia do caso, exercite seu raciocínio diagnóstico e deixe seus comentários abaixo.

*****

Male patient, 48 years old, obese, with dyspnea, cough and fever during flu episode. Denies smoking. In 48 hours there was progress to respiratory failure. Note the radiograph of the case, exercise their diagnostic reasoning and leave your comments below.

Resposta

Veja a resposta / See the answer
Clique aqui / click here


Compartilhe: