PESQUISA DE IMAGENS

 

Central de Downloads

Encontre em nossa área de downloads vários arquivos e PDF, PPT, WORD, entre outros. Todos os arquivos com relevância para sua pesquisa.

Sessão Retrô

Artigos que contam a história da pneumologia.

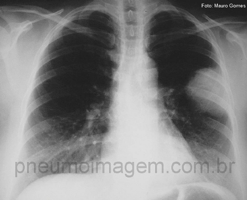
CASO CLÍNICO #23

CASO CLÍNICO #23Homem, 46 anos, apresenta-se com tosse seca há 3 semanas acompanhada por dispneia leve aos esforços. Nega febre e perda de peso. Tabagista por 20 anos/maço. Observe atentamente a radiografia de tórax, faça suas hipóteses diagnósticas e deixe seus comentários.
*****
Man, 46, presents with dry cough for three weeks accompanied by mild dyspnea on exertion. Denies fever and weight loss. Smoker for 20 pack / year. Look closely chest X-ray, make your diagnostic hypotheses and enter your comments.

Resposta

Veja a resposta / See the answer:
clique aqui / clik here

O vencedor da promoção do livro de Atualização em Infecções Respiratórias foi:
- Liga Acadêmica de Infectologia - Liga Acadêmica - Araguaína - Tocantins.

Entre em contato por mensagem inbox pelo Facebook para a entrega do prêmio.


Compartilhe: