PESQUISA DE IMAGENS

 

Central de Downloads

Encontre em nossa área de downloads vários arquivos e PDF, PPT, WORD, entre outros. Todos os arquivos com relevância para sua pesquisa.

Sessão Retrô

Artigos que contam a história da pneumologia.

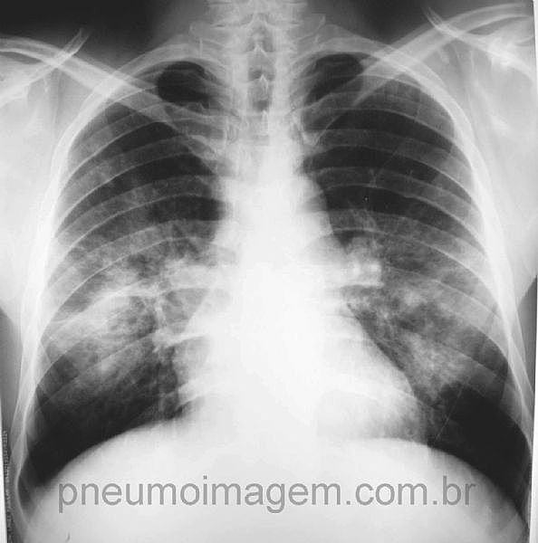
CASO CLÍNICO #24

CASO CLÍNICO #24Essa imagem é característica de uma doença fúngica. Qual o nome desse sinal e a qual doença ele se relaciona?

*****

This signal is characteristic of a fungal disease. What is the name of the sign and the disease which it relates?

Resposta

Veja a resposta / See the answer:
Clique aqui / click here


Compartilhe:
Sinal da asa de borboleta/ paracoco.

Vanessa

Pneumo

Vinhedo - Sp - 28/08/2015 08:31
Sinal da asa de morcego, característica da histoplasmose.

Henrique Martins dos Santos Filho

Nenhuma

Rio Branco - Acre - 28/08/2015 03:13
Sinal da asa de borboleta. Blastomicose sul americana.

João Victor

Estudante de medicina

Araguaína - Tocantins - 27/08/2015 23:46
Paracoccidioidomicose - sinal da asa de borboleta.

Beatriz

Fisioterapeuta

27/08/2015 22:37
Na radiografia observa-se o sinal da asa de borboleta. Este é sugestivo de paracoccidioidomicose.

Humberto Filho

Acadêmico

Mogi das Cruzes - São Paulo - 27/08/2015 22:12