PESQUISA DE IMAGENS

 

Central de Downloads

Encontre em nossa área de downloads vários arquivos e PDF, PPT, WORD, entre outros. Todos os arquivos com relevância para sua pesquisa.

Sessão Retrô

Artigos que contam a história da pneumologia.

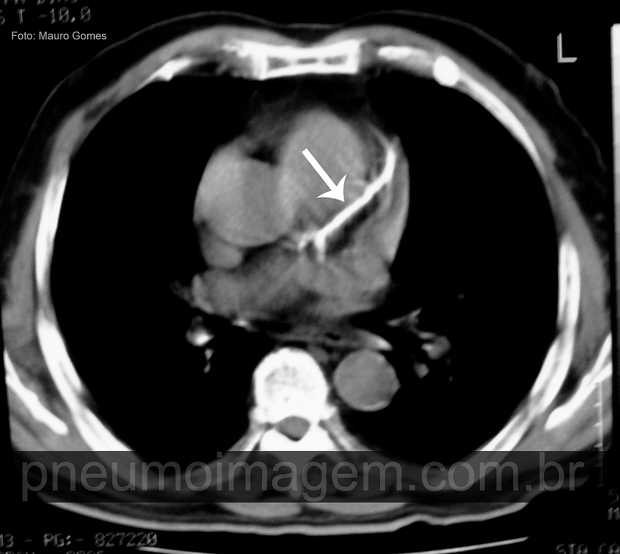
CASO CLÍNICO #25

CASO CLÍNICO #25O que é essa imagem e o que ela significa? Deixe seus comentários abaixo.

*****

What is this image and what it means? Write your comments below.

Resposta

Veja a resposta / See the answer:
Clique aqui / click here


Compartilhe: