PESQUISA DE IMAGENS

 

Central de Downloads

Encontre em nossa área de downloads vários arquivos e PDF, PPT, WORD, entre outros. Todos os arquivos com relevância para sua pesquisa.

Sessão Retrô

Artigos que contam a história da pneumologia.

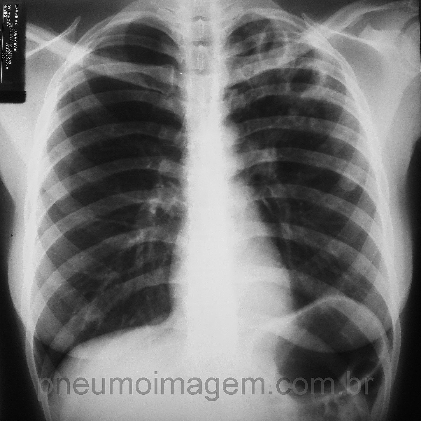
CASO CLÍNICO #26

CASO CLÍNICO #26Paciente com febre, emagrecimento e hemoptoicos. Qual o diagnóstico mais provável? Deixe os seus comentários abaixo.

*****

Patient with fever, weight loss and hemoptysis. What is the most probable diagnosis? Write your comments below.

Resposta

Veja a resposta / See the answer:
Clique aqui / click here


Compartilhe:
Tuberculose Pulmonar

Vanessa Marmo

Pneumo

Vinhedo - SP - 27/11/2015 00:31