PESQUISA DE IMAGENS

 

Central de Downloads

Encontre em nossa área de downloads vários arquivos e PDF, PPT, WORD, entre outros. Todos os arquivos com relevância para sua pesquisa.

Sessão Retrô

Artigos que contam a história da pneumologia.

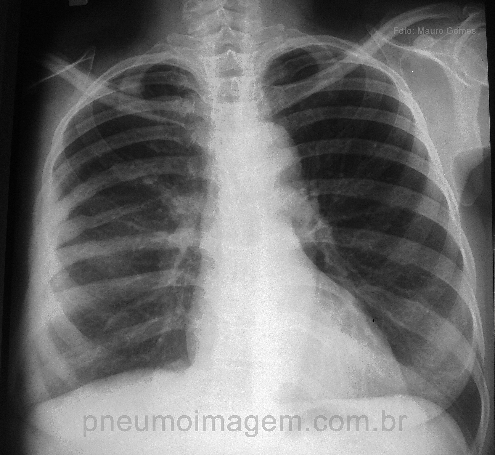
CASO CLÍNICO #29

CASO CLÍNICO #29Mulher com câncer de mama foi submetida a tratamento por radioterapia e apresenta dor torácica. Qual o diagnóstico mais provável? Deixe os seus comentários abaixo.

*****

Woman with breast cancer underwent treatment by radiotherapy and presents chest pain. What is the most likely diagnosis? Give your comments below.

Resposta

Veja a resposta / See the answer:
Clique aqui / click here


Compartilhe:
FRATURA DE COSTELAS DIREITAS POR METÁSTASES.

ricardo domingos delduque

pneumologia

catanduva - sp - 26/01/2016 19:40
Fratura por metástase em costelas direitas.

ricardo domingos delduque

pneumologia

catanduva - sp - 26/01/2016 19:40
Osteoporose (devido RxT) em região de costela, podendo ter ocasionado possível fratura da mesma.

Beatriz

Fisioterapeuta

25/01/2016 21:01