Encontre em nossa área de downloads vários arquivos e PDF, PPT, WORD, entre outros. Todos os arquivos com relevância para sua pesquisa.
Sessão Retrô
Artigos que contam a história da pneumologia.
CASO CLÍNICO #30
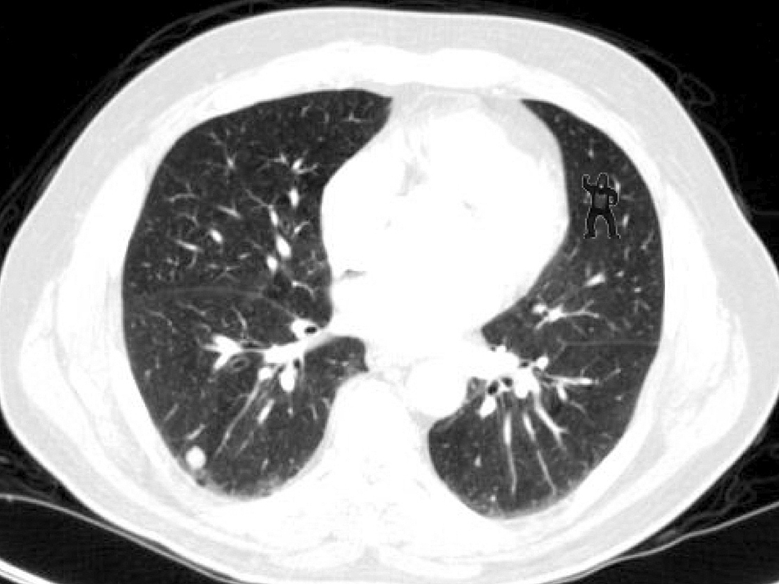
Na investigação de nódulos pulmonares, 83% dos radiologistas erraram a interpretação dessa tomografia. O que você vê nesse corte tomográfico? Escreva abaixo sua interpretação.
*****
In the investigation of pulmonary nodules, 83% of radiologists were wrong at the assessment of this tomography. What you see at this CT slice? Write below your interpretation.
O pneumoimagem.com.br é destinado à informação e educação médica e dirigido exclusivamente aos médicos, profissionais de saúde e estudantes das áreas afins.
Ao continuar navegando você estará aceitando os Termos de Utilização do site e todas as regras nele contidas.
2 COMENTÁRIOS
BEATRIZ
Fisioterapeuta
São Bernardo do Campo - SP - 15/02/2016 23:11Cidney Knupp Neves
São Paulo - São Paulo - 15/02/2016 20:56DEIXE SEU COMENTÁRIO