PESQUISA DE IMAGENS

 

Central de Downloads

Encontre em nossa área de downloads vários arquivos e PDF, PPT, WORD, entre outros. Todos os arquivos com relevância para sua pesquisa.

Sessão Retrô

Artigos que contam a história da pneumologia.

CASO CLÍNICO #32

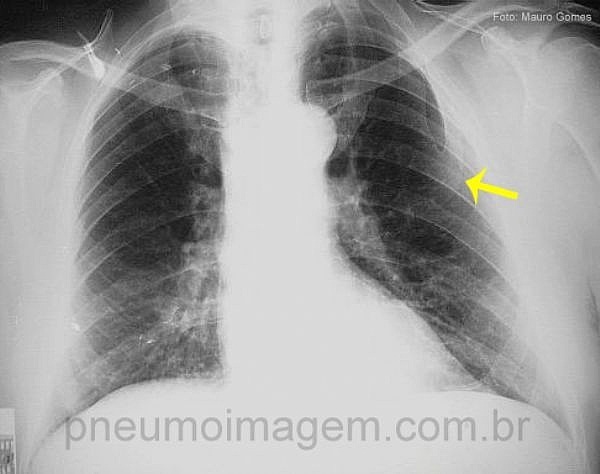
CASO CLÍNICO #32O que a seta aponta nessa radiografia? Deixe os seus comentários abaixo.

*****

What the arrow points in this radiograph? Give your comments below.

Resposta

Veja a resposta / See the answer:
Clique aqui / click here


Compartilhe: