PESQUISA DE IMAGENS

 

Central de Downloads

Encontre em nossa área de downloads vários arquivos e PDF, PPT, WORD, entre outros. Todos os arquivos com relevância para sua pesquisa.

Sessão Retrô

Artigos que contam a história da pneumologia.

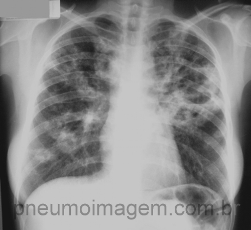
CASO CLÍNICO #33

CASO CLÍNICO #33Nem tudo é o que parece ser. Muitas vezes a tuberculose não aparece sozinha e, sim, associada a outras doenças, como neste caso. Qual a sua hipótese para a imagem? Deixe os seus comentários abaixo.
*****
Not everything is what seems. Many times TB is not an isolated disease, but is associated with other diseases, as in this case. What is your hypothesis for the image? Write your comments below.

Resposta

Veja a resposta / See the answer
Clique aqui / clik here


Compartilhe: