PESQUISA DE IMAGENS

 

Central de Downloads

Encontre em nossa área de downloads vários arquivos e PDF, PPT, WORD, entre outros. Todos os arquivos com relevância para sua pesquisa.

Sessão Retrô

Artigos que contam a história da pneumologia.

CASO CLÍNICO #38

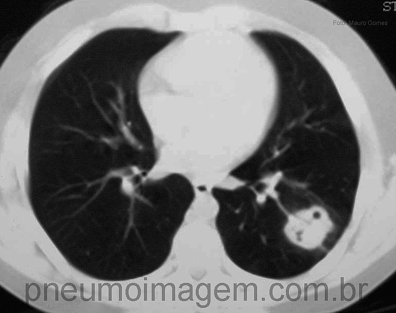
CASO CLÍNICO #38Menino adolescente de 12 anos de idade com opacidade nodular em lobo inferior esquerdo. Apresentava exposição a pombos no pátio do colégio em que estudava. Qual o diagnóstico mais provável? Deixe os seus comentários abaixo.

*****

Teen boy of 12 years old with nodular opacity in the left lower lobe. Had exposure to pigeons in the schoolyard where he studies. What is the most likely diagnosis? Give your comments below.

Resposta

Veja a resposta / See the answer
Clique aqui / Click here


Compartilhe:
Criptococose.

luiz

clinica geral

Loanda - Pr - 27/10/2016 19:53