PESQUISA DE IMAGENS

 

Central de Downloads

Encontre em nossa área de downloads vários arquivos e PDF, PPT, WORD, entre outros. Todos os arquivos com relevância para sua pesquisa.

Sessão Retrô

Artigos que contam a história da pneumologia.

CASO CLÍNICO #39

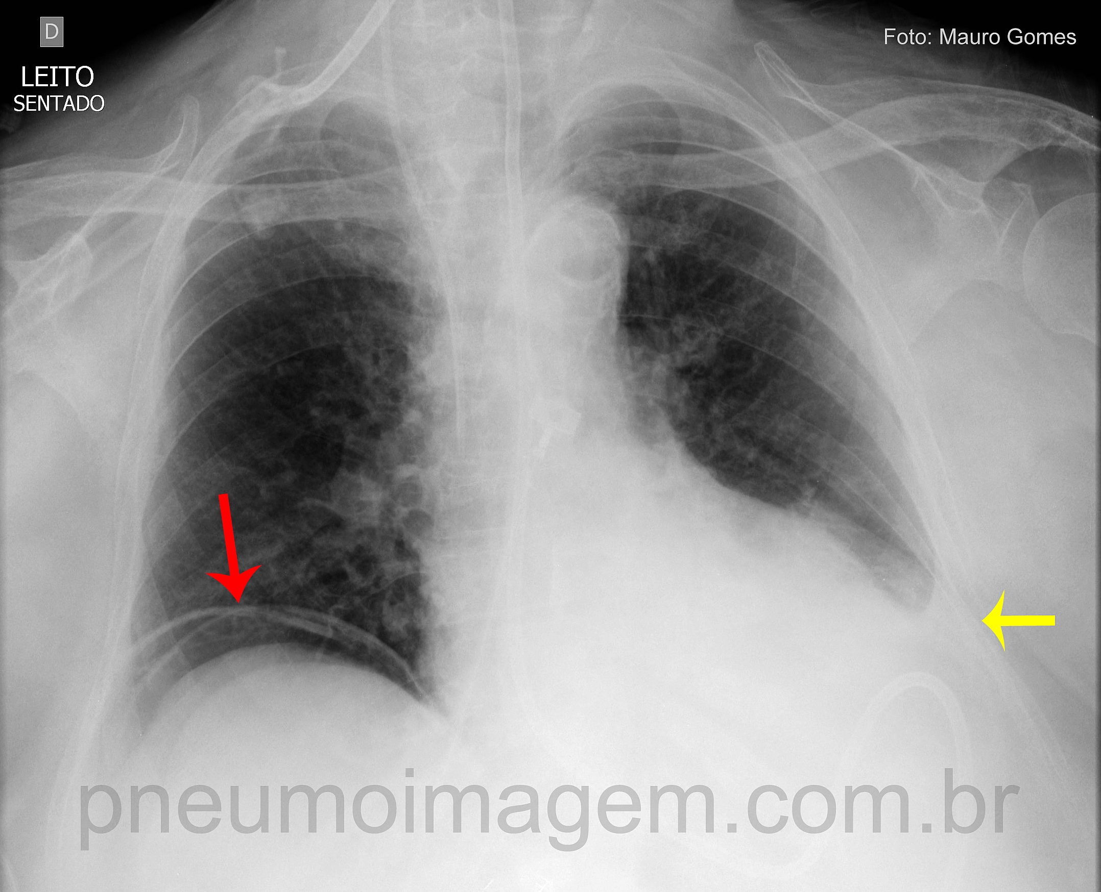
CASO CLÍNICO #39O que as setas apontam nessa radiografia? Deixe os seus comentários abaixo!

*****

What the arrows point in this chest X? Give your comments below!

Resposta

Veja a resposta / See the answer:
Clique aqui / Click here


Compartilhe:
Acredito que seja um vazamento no pulmão da veia cava inferior .

Miqueias

Caseira

Uberlandia - Minas gerais - 15/11/2017 19:10