PESQUISA DE IMAGENS

 

Central de Downloads

Encontre em nossa área de downloads vários arquivos e PDF, PPT, WORD, entre outros. Todos os arquivos com relevância para sua pesquisa.

Sessão Retrô

Artigos que contam a história da pneumologia.

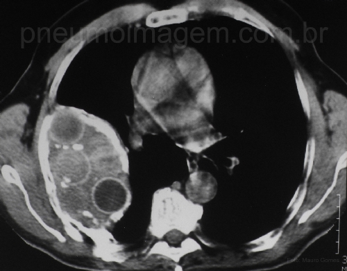
CASO CLÍNICO #4

CASO CLÍNICO #4Paciente do sexo masculino, 69 anos, assintomático, encaminhado devido ao achado tomográfico. Nega tabagismo. Refere tratamento para tuberculose 50 anos atrás. Ao exame apresenta deformidade torácica, escoliose, com ausculta pulmonar com MV reduzido em terço superior do hemitórax direito.
*****
Male patient, 69 years old, asymptomatic, referred due to tomographic finding. Denies smoking. Refers treatment for tuberculosis 50 years ago. On examination shows thoracic deformity, scoliosis, pulmonary auscultation breath sounds reduced in the upper third of the right hemithorax.

Resposta

Veja a resposta / see the answer:
Clique aqui / click here


Compartilhe: