PESQUISA DE IMAGENS

 

Central de Downloads

Encontre em nossa área de downloads vários arquivos e PDF, PPT, WORD, entre outros. Todos os arquivos com relevância para sua pesquisa.

Sessão Retrô

Artigos que contam a história da pneumologia.

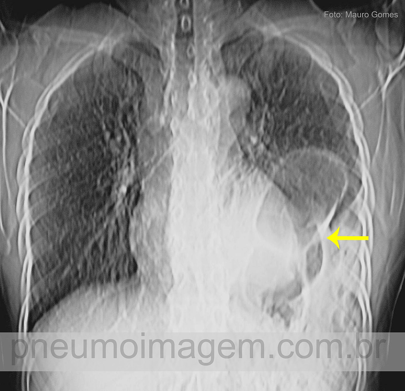
CASO CLÍNICO #42

CASO CLÍNICO #42A imagem não está tão nítida pois foi extraída de um corte de tomografia, mas o caso é bem interessante. O que a seta aponta nesse corte? Deixe os seus comentários abaixo!

*****

The image is not so clear because it was extracted from a CT scan, but the case is very interesting. What does the arrow point at this cut? Leave your comments below!

Resposta

Veja a resposta / See the answer:
Clique aqui / Click here


Compartilhe:
Parece-me hernia diafragmática traumática e herniação de cólon em sofrimento, pois está com paredes espessadas, reação pleural, etc.

AHMAD RAHAL

pneumologia/cirurgia toracica

POUSO ALEGRE - MG - 23/02/2017 17:10
Segmento de delgado herniando para o tórax.

Luciene Franza

Pneumologista

São Bernardo do Campo - São Paulo - 23/02/2017 02:18
Hérnia diafragmática com herniação de conteúdo do trato digestivo para o tórax.

Vanessa

21/02/2017 16:35