Encontre em nossa área de downloads vários arquivos e PDF, PPT, WORD, entre outros. Todos os arquivos com relevância para sua pesquisa.
Sessão Retrô
Artigos que contam a história da pneumologia.
CASO CLÍNICO #44
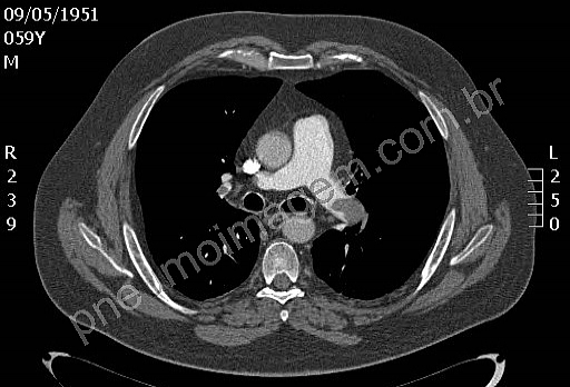
Qual o principal diagnóstico ao se encontrar essa imagem em uma TC de tórax? Deixe os seus comentários abaixo!
*****
What is the main diagnosis when you find this image on a chest CT scan? Give your comments below!
O pneumoimagem.com.br é destinado à informação e educação médica e dirigido exclusivamente aos médicos, profissionais de saúde e estudantes das áreas afins.
Ao continuar navegando você estará aceitando os Termos de Utilização do site e todas as regras nele contidas.
DEIXE SEU COMENTÁRIO