PESQUISA DE IMAGENS

 

Central de Downloads

Encontre em nossa área de downloads vários arquivos e PDF, PPT, WORD, entre outros. Todos os arquivos com relevância para sua pesquisa.

Sessão Retrô

Artigos que contam a história da pneumologia.

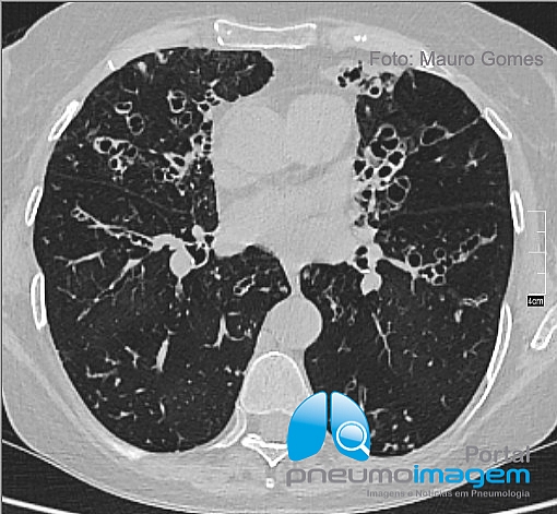
CASO CLÍNICO #49

CASO CLÍNICO #49Mulher, 65 anos, asmática grave desde a infância e com exacerbações frequentes. Dosagem de IgE 1212 UI. Qual o diagnóstico mais provável? Deixe os seus comentários abaixo.
Obs: nos stories do Instagram e nos destaques do Instagram você pode ver o exame tomográfico completo da paciente.

*****

Woman, 65, severe asthma since childhood and with frequent exacerbations. IgE 1212 IU. What is the most likely diagnosis? Give your comments below.
Note: in the stories of Instagram Instagram and highlights you can see the full CT scan of the patient.

Resposta

Veja a resposta / See the answer
Clique aqui / Click here


Compartilhe:
ABPA AUMENTO DE IgE + Asma bronquiectasias centrais

JORGE EDUARDO MANHÃES DE CARVALHO

Médico(a)

Niterói - Rio de Janeiro - 10/04/2023 19:27
BRONQUIECTASIA CILÍNDRICA BILATERAL

ROBERTO PIRAJA MORITZ DE ARAUJO

Pneumologia

Curitiba - PR - 04/11/2019 16:22
ABPA

Yvamna Quintana

Neumologia

Pilar - Paraguay - 18/04/2018 13:01
ABPA

Gricelda Caceres

Neumologia

Ciudad del Este - Paraguay - 14/04/2018 20:30
Aspergilose broncopulmonar alérgica.

Vanessa

Pneumologista

Novo Hamburgo - RS - 14/04/2018 18:53
ABPA

Paulo Faleiros

Pneumo

Franca - SP - 13/04/2018 10:07
Ocorreu um remodelamento brônquico. Provavelmente uma fibrose.

Clara

Fisioterapeuta

Sorocaba0 - SP - 12/04/2018 19:33
ABPA

Luis Gómez Paciello

Neumología

Asunción - 12/04/2018 18:41