PESQUISA DE IMAGENS

 

Central de Downloads

Encontre em nossa área de downloads vários arquivos e PDF, PPT, WORD, entre outros. Todos os arquivos com relevância para sua pesquisa.

Sessão Retrô

Artigos que contam a história da pneumologia.

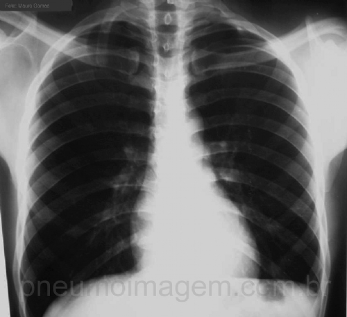
CASO CLÍNICO #5

CASO CLÍNICO #5Paciente do sexo masculino que apresenta-se com dor intermitente e relacionada aos movimentos no membro superior direito, parestesia e diminuição de força muscular. Olhe atentamente a sua radiografia de tórax e deixe os seus comentários abaixo.

Male patient with intermittent pain and related to movements in the right arm and paresthesia with decreased muscle strength. Look closely at your chest radiography and leave your comments below.

Resposta

Veja a resposta/see the answer:
clique aqui/click here


Compartilhe:
costelas cervicais direita e esquerda, agenesia do 1º arco costal e.

Jose Teixeira Alves Junior

Pneumologia

Rio de Janeiro - RJ - 17/01/2014 18:19
Costela cervical

Daniel de Souza Santos

Nefrologia

Rio de Janeiro - RJ - 16/01/2014 23:01
O paciente apresenta costela cervical a direita

Marcio

Radiologia

Mogi das Cruzes - SP - 16/01/2014 21:22