Encontre em nossa área de downloads vários arquivos e PDF, PPT, WORD, entre outros. Todos os arquivos com relevância para sua pesquisa.
Sessão Retrô
Artigos que contam a história da pneumologia.
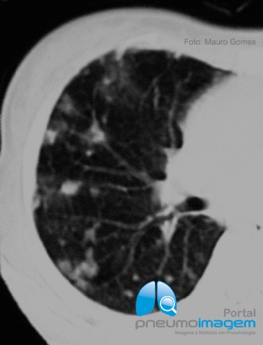
CASO CLÍNICO #50
Você conhece o nome desse sinal e o que ele significa? Deixe seus comentários abaixo!
*****
Do you know this sign and what it means? Write your comment below!
O pneumoimagem.com.br é destinado à informação e educação médica e dirigido exclusivamente aos médicos, profissionais de saúde e estudantes das áreas afins.
Ao continuar navegando você estará aceitando os Termos de Utilização do site e todas as regras nele contidas.
1 COMENTÁRIOS
JORGE EDUARDO MANHÃES DE CARVALHO
Médico(a)
Niterói - Rio de Janeiro - 10/04/2023 19:22DEIXE SEU COMENTÁRIO