PESQUISA DE IMAGENS

 

Central de Downloads

Encontre em nossa área de downloads vários arquivos e PDF, PPT, WORD, entre outros. Todos os arquivos com relevância para sua pesquisa.

Sessão Retrô

Artigos que contam a história da pneumologia.

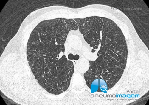
CASO CLÍNICO #56

CASO CLÍNICO #56Homem de 48 anos, tabagista e que se apresenta com dispneia. Qual o diagnóstico? Deixe seus comentários abaixo.

***

A 48-year-old male smoker with dyspnoea. What is the diagnosis? Write your comments below.

Resposta

Veja a resposta /See the answer
Clique aqui / Click here


Compartilhe:
Linfagioleiomiomatose.

Marcelo dos Santos Sampaio

MFC e pneumologia

São Paulo - Sp - 03/05/2019 23:04
HISTIOCITOSE DE CELULAS DE LANGERHANS.

Ricardo delduque

Pneumologia

Catanduva - São paulo - 03/05/2019 01:10