Encontre em nossa área de downloads vários arquivos e PDF, PPT, WORD, entre outros. Todos os arquivos com relevância para sua pesquisa.
Sessão Retrô
Artigos que contam a história da pneumologia.
CASO CLÍNICO #58
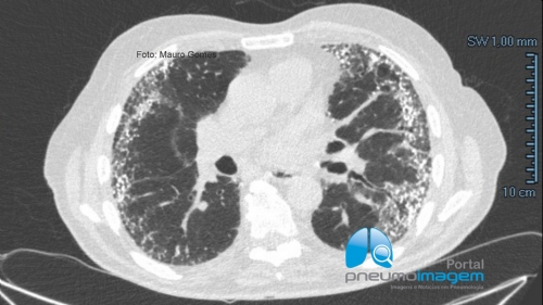
Homem de 83 anos apresenta-se com cansaço e tosse seca persistente há 2 anos. Perdeu 5kg nos últimos 10 meses. Nega tabagismo. Qual o diagnóstico? Deixe seus comentários abaixo.
***
83-year-old man presents with tiredness and persistent dry cough for 2 years. Lost 5kg in the last 10 months. She denies smoking. What is the diagnosis? Write your comments below.
O pneumoimagem.com.br é destinado à informação e educação médica e dirigido exclusivamente aos médicos, profissionais de saúde e estudantes das áreas afins.
Ao continuar navegando você estará aceitando os Termos de Utilização do site e todas as regras nele contidas.
DEIXE SEU COMENTÁRIO