Encontre em nossa área de downloads vários arquivos e PDF, PPT, WORD, entre outros. Todos os arquivos com relevância para sua pesquisa.
Sessão Retrô
Artigos que contam a história da pneumologia.
CASO CLÍNICO #59
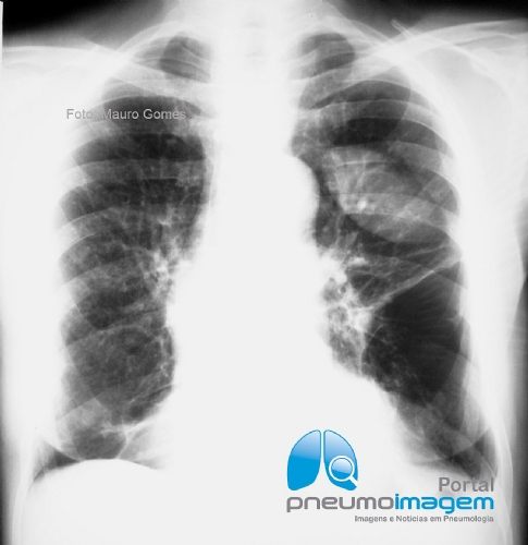
Para essa imagem não é preciso nem história clínica para dar o diagnóstico. Como você interpreta essa radiografia e qual a sua principal hipótese diagnóstica? Deixe seus comentários abaixo.
***
For this image, there is no need for a clinical history to give the diagnosis. How do you interpret this radiography and what is your main diagnostic hypothesis? Write your comments below.
O pneumoimagem.com.br é destinado à informação e educação médica e dirigido exclusivamente aos médicos, profissionais de saúde e estudantes das áreas afins.
Ao continuar navegando você estará aceitando os Termos de Utilização do site e todas as regras nele contidas.
DEIXE SEU COMENTÁRIO