Encontre em nossa área de downloads vários arquivos e PDF, PPT, WORD, entre outros. Todos os arquivos com relevância para sua pesquisa.
Sessão Retrô
Artigos que contam a história da pneumologia.
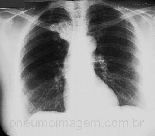
CASO CLÍNICO #6
Observe essa radiografia com essa massa paratraqueal à direita. Com base somente na incidência em PA, onde se localiza essa lesão?
a) Pulmão
b) Mediastino
c) Caixa torácica
Deixe seus comentários abaixo!
************
Please note that right paratracheal mass. Where is this injury?
a) Lung
b) Mediastinum
c) Rib Cage
Caixa torácica? POis se estivesse no pulmão ou mediastiano haveria desvio da traquéia para esq. O que não acontece. Pelo menos é que meus pequenos olhos enxergam no PA. Boa Mauro!
Patricia Moreira
clinica/pneumo
São Paulo - 14/02/2014 00:01
MEDIASTINAL DEVIDO Á LEI DOS ÂNGULOS. O PERFIL DARIA A INFORMAçãO SE É DA PAREDE TORÁCICA OU MEDIASTINO ANTERIO-SUPERIOR.
JESUS
CIRURGIA
RIO DE JANEIRO - RIO DE JANEIRO - 13/02/2014 23:16
O pneumoimagem.com.br é destinado à informação e educação médica e dirigido exclusivamente aos médicos, profissionais de saúde e estudantes das áreas afins.
Ao continuar navegando você estará aceitando os Termos de Utilização do site e todas as regras nele contidas.
4 COMENTÁRIOS
Brisa Ellen Rodrigues Melo
Fisioterapeuta Intensivista
Brasília - Distrito Federal - 14/02/2014 22:57José Neto
Fisioterapeuta
Crato - Ceará - 14/02/2014 00:04Patricia Moreira
clinica/pneumo
São Paulo - 14/02/2014 00:01JESUS
CIRURGIA
RIO DE JANEIRO - RIO DE JANEIRO - 13/02/2014 23:16DEIXE SEU COMENTÁRIO