Encontre em nossa área de downloads vários arquivos e PDF, PPT, WORD, entre outros. Todos os arquivos com relevância para sua pesquisa.
Sessão Retrô
Artigos que contam a história da pneumologia.
CASO CLÍNICO #60
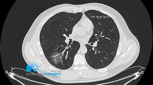
Homem de 48 anos, diabético controlado, compareceu ao PS com história de febre e mialgia, sem outros sintomas. Qual o seu provável diagnóstico e conduta? Deixe seus comentários abaixo.
***
A 48-year-old man, a controlled diabetic, attended the ER with a history of fever and myalgia, without other symptoms. What is your probable diagnosis and conduct? Write your comments below.
O pneumoimagem.com.br é destinado à informação e educação médica e dirigido exclusivamente aos médicos, profissionais de saúde e estudantes das áreas afins.
Ao continuar navegando você estará aceitando os Termos de Utilização do site e todas as regras nele contidas.
DEIXE SEU COMENTÁRIO