Encontre em nossa área de downloads vários arquivos e PDF, PPT, WORD, entre outros. Todos os arquivos com relevância para sua pesquisa.
Sessão Retrô
Artigos que contam a história da pneumologia.
CASO CLÍNICO #62
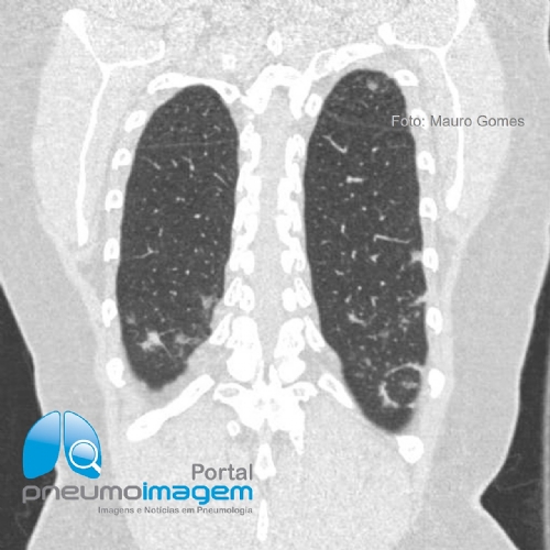
Qual o nome desse sinal tomográfico e em qual doença ele foi descrito? Deixe seus comentários abaixo.
***
What is the name of this tomographic sign and in what disease was it described? Write your comments below.
O pneumoimagem.com.br é destinado à informação e educação médica e dirigido exclusivamente aos médicos, profissionais de saúde e estudantes das áreas afins.
Ao continuar navegando você estará aceitando os Termos de Utilização do site e todas as regras nele contidas.
DEIXE SEU COMENTÁRIO