PESQUISA DE IMAGENS

 

Central de Downloads

Encontre em nossa área de downloads vários arquivos e PDF, PPT, WORD, entre outros. Todos os arquivos com relevância para sua pesquisa.

Sessão Retrô

Artigos que contam a história da pneumologia.

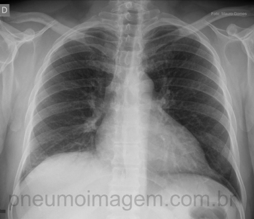
CASO CLÍNICO #8

CASO CLÍNICO #8Paciente jovem, apresenta-se com tosse, febre alta (39 C) e dor torácica com início há 2 dias. Alguns raros EC na base pulmonar direita. Olhe atentamente essa radiografia de tórax e diga qual seria a sua conduta. Você trataria como pneumonia? Deixe seu comentário abaixo.

*****

Young adult patient presents with cough, high fever (39 C) and chest pain for 2 days. Some rare crackling rales at the right lung base. Look closely at this chest x-ray and tell me what you would do. Do you would treat the case as pneumonia? Leave your comments below.

Resposta

Veja a resposta / see the answer
Clique aqui / click here


Compartilhe:
Sim a princípio trataria como pneumonia já que a imagem pode aparecer mais tarde

Alípio balthazar

Pneumo

Campinas - Sp - 15/04/2014 23:09
Abscesso hepático

Gustavo Magno Baptista

Pneumologia

Itabuna - Bahia - 13/04/2014 22:21