PESQUISA DE IMAGENS

 

Central de Downloads

Encontre em nossa área de downloads vários arquivos e PDF, PPT, WORD, entre outros. Todos os arquivos com relevância para sua pesquisa.

Sessão Retrô

Artigos que contam a história da pneumologia.

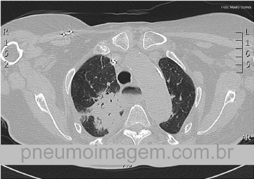
CASO CLÍNICO #9

CASO CLÍNICO #9Paciente do sexo feminino, 87 anos, apresenta tosse crônica, síndrome consumptiva e queda do estado geral. Nega febre e dispneia. Qual a sua hipótese diagnóstica? Deixe os seus comentários abaixo!

*****

Female patient, 87 years old, has chronic cough, wasting syndrome, and poor general condition. Denies fever and dyspnea. What is your diagnosis? Leave your comments below!

Resposta

Veja a resposta / See the answer
Clique aqui/Click here


Compartilhe:
Acalásia do esôfago com pneumonia por broncoaspiração

Mauro Zamboni

Pneumologia

Rio de Janeiro - RJ - 12/05/2014 20:41