PESQUISA DE IMAGENS

 

Central de Downloads

Encontre em nossa área de downloads vários arquivos e PDF, PPT, WORD, entre outros. Todos os arquivos com relevância para sua pesquisa.

Sessão Retrô

Artigos que contam a história da pneumologia.

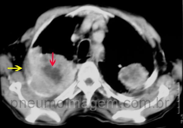
ADENOCARCINOMA BILATERAL

ADENOCARCINOMA BILATERAL

O adenocarcinoma faz parte do grupo dos carcinomas não pequenas células (CPNPC) e é um dos quatro principais tipos de neoplasias do pulmão. Geralmente ele se apresenta como um tumor periférico. Nesse caso, massas periféricas bilaterais nos lobos superiores.

Observe que a lesão no lobo superior direito invade a parede torácica e leva à corrosão do arco costal (seta).

*****

Adenocarcinoma is part of the group of non-small cell carcinomas (NSCLC) and is one of the four main types of lung cancer. It usually presents as a peripheral tumor. In this case, bilateral peripheral masses in the upper lobes.

Note that the lesion in the right upper lobe invades the chest wall and leads to corrosion of the costal arch (arrow).


Corte tomográfico demonstrando as massas apicais. Observe a necrose central (seta vermelha) e a invasão da parede torácica (seta amarela).

*****
CT scan showing the apical masses. Observe the central necrosis (red arrow) and the invasion of the chest wall (yellow arrow).


Compartilhe: