O adenocarcinoma é um dos quatro principais tipos de neoplasias do pulmão e geralmente se apresenta como um tumor periférico. O adenocarcinoma de pulmão padrão bronquioloalveolar se apresenta como múltiplas imagens nodulares bilaterais com tendência a consolidação nas bases.
*****
Adenocarcinoma is one of four major types of lung neoplasms and usually presents as a peripheral tumor. Bronchioloalveolar adenocarcinoma presents as multiple bilateral nodules tending to consolidation.
Chaves: bronchiolo-alveolar carcinoma (BAC); non-small cell lung cancer; non-small cell carcinoma (NSCLC); carcinoma não pequenas células; carcinoma de células não pequenas; tabagismo; smoking.

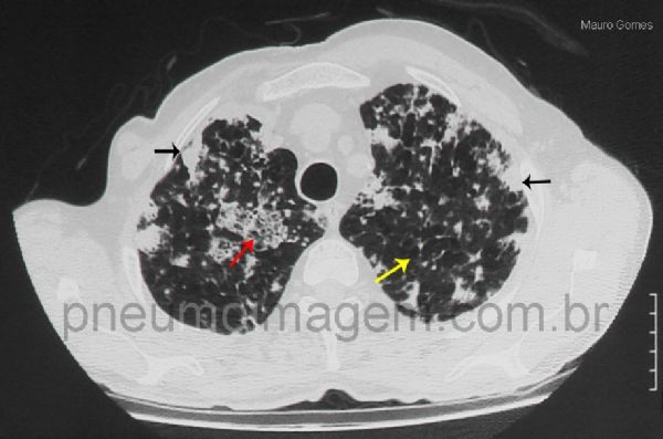
Áreas de opacidades em vidro fosco com septos interlobulares espessados no seu interior (aspecto de pavimentação em mosaico) - seta vermelha. Nódulos confluentes formando áreas de consolidação (seta preta). Áreas com formações císticas compatíveis com enfisema ou pseudobolhas (seta amarela). Estudos atuais de correlação radiológica-patológica postulam que ocorram metástases com disseminação por via aérea (metástases aerógenas) no adenocarcinoma de pulmão. As células cancerosas crescem ao longo dos septos alveolares no local primário destacadas da membrana basal, distribuem-se através das vias aéreas e voltam a fixar e a crescer ao longo dos septos alveolares, longe do foco primário.
*****
Ground-glass opacities with thickened interlobular septa (mosaic pattern) - red arrow. Confluent nodules to form areas of consolidation (black arrow). Areas with cystic formations consistent with emphysema or pseudo-bubbles (yellow arrow). Current studies of radiological-pathological correlation postulate that occur metastases with airborne spread (aerogenous metastases) in lung adenocarcinoma. Cancer cells grow along the alveolar septa at the primary site detached from the basal membrane, are distributed through the airways and return to fix and grow along the alveolar septa, away from the primary focus.

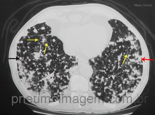
Múltiplos nódulos bilaterais, alguns confluentes e áreas de consolidação. Entre os achados da TC que são sugestivos de propagação aerógena podemos encontrar nódulos centrolobulares especificamente persistentes e opacidades em ramificação (árvore em brotamento). Os nódulos tendem a ser agrupados e invariavelmente crescem nos controles seriados de imagens. Em alguns casos evoluem para doença confluente do espaço aéreo.
*****
Multiple bilateral nodules, some confluent and areas of consolidation. Among the CT findings that are suggestive of aerogenous spread we can find persistent centrilobular nodules and branching opacities (tree-in-bud). The nodules tend to be grouped and invariably grow in serial controls images. In some cases progress to disease confluent of airspace.

Nódulos difusos (seta preta), alguns deles confluentes (seta vermelha) e espessamento liso de septos interlobulares compatível com linfangite (seta amarela). Quando essas características são encontradas remotamente durante a evolução a partir de uma lesão pulmonar primária que provou ser um adenocarcinoma, e/ou em pacientes com história prévia de adenocarcinoma de pulmão tratado, a propagação aerógena intrapulmonar deve ser suspeitada. É importante ressaltar que as metástases aerógenas devem ser diferenciadas de múltiplas lesões síncrônicas no espectro do adenocarcinoma de pulmão.
*****
Diffuse nodules (black arrow), some of them confluent (red arrow) and smooth interlobular septal thickening compatible with lymphangitis (yellow arrow). When these characteristics are found during the course remotely from a primary pulmonary lesion that proved to be an adenocarcinoma, and / or in patients with a history of treated lung adenocarcinoma, the intrapulmonary aerogenous spread should be suspected. Importantly, the aerogenous metastases should be differentiated from multiple synchronous lesions in lung adenocarcinoma spectrum.
DEIXE SEU COMENTÁRIO