De25-10-2010S1I28.jpg)
Anatomia vascular.
(1) veia braquicefálica direita;
(2) artéria braquicefálica;
(3) artéria carótida esquerda;
(4) artéria subclávia esquerda.
Na direção da seta amarela, o timo normal.
Chaves: vasos normais;
(1) the right brachiocephalic vein,
(2) brachiocephalic artery,
(3) the left carotid artery,
(4) the left subclavian artery;normal thymus (yeloww).
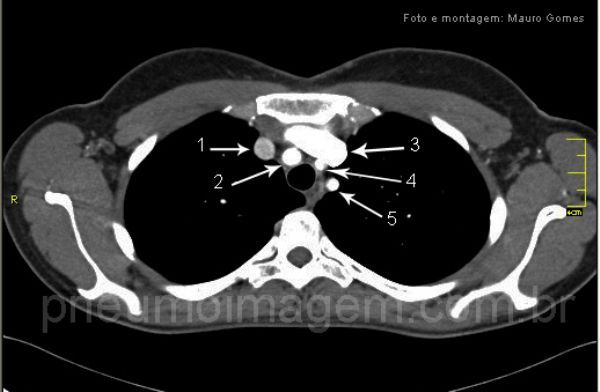
De25-10-2010S4I30.jpg)
(1) veia braquicefálica direita;
(2) artéria braquicefálica;
(3) veia braquicefálica esquerda;
(4) carótida;
(5) subclávia esquerda.
Chaves:
(1) the right brachiocephalic vein,
(2) brachiocephalic artery,
(3) left brachiocephalic vein,
(4) carotid artery, (
(5) left subclavian artery.
De25-10-2010S4I44.jpg)
(1) veia cava superior;
(2) arco da aorta. Na direção da seta amarela,a traquéia.
Chaves:
(1) superior vena cava,
(2) the aortic arch, trachea (yellow).
De25-10-2010S4I53.jpg)
(1) aorta ascendente;
(2) aorta descendente;
(3) tronco da artéria pulmonar;
(4) artéria pulmonar esquerda;
(5) artéria pulmonar direita.
Chaves:
(1) ascending aorta,
(2) descending aorta,
(3) pulmonary artery,
(4) left pulmonary artery,
(5) the right pulmonary artery.
DEIXE SEU COMENTÁRIO