
O sequestro pulmonar é uma malformação congênita caracterizada por tecido pulmonar destacado do pulmão normal, porém não funcionante e sem conexão com a árvore brônquica, com vascularização oriunda da circulação sistêmica e não pulmonar.
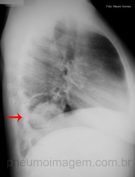
Nesta radiografia observa-se uma opacidade heterogênea e irregular localizada na região inferior do pulmão direito (seta). A formação em semilua (ou crescente) pode confundir com aspergiloma.
*****
Pulmonary sequestration is characterized by lung tissue detached from the normal lung, but nonfunctional and without connection to the bronchial tree. The vasculature is derived from the systemic circulation. Irregular and heterogeneous opacity located in the lower right lung (arrow).

O corte em perfil localiza a lesão posteriormente. O sequestro é uma lesão que se encontra contígua ao pulmão normal, podendo ou não ser recoberto por pleura visceral.
Apresenta-se como massa pulmonar ou opacidades policísticas, geralmente localizadas nos segmentos basais posteriores dos lobos inferiores.
*****
Mass or polycystic opacities, usually located
in the posterior basal segments of the lower lobes.

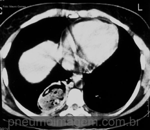
Os sequestros podem ser assintomáticos e diagnosticados por suspeita de neoplasia pulmonar em achado radiológico ou ocasionam tosse produtiva crônica, infecções pulmonares de repetição, hemoptise e dor torácica. Neste corte tomográfico observa-se a lesão posteriormente e a formação em crescente permite confundir com aspergiloma.
Chaves: semilua, sinal em crescente.
*****
Posterior lesion and crescent sign allows confuse with aspergilloma.

Bronquiectasias podem estar associadas à lesão, como se observa neste corte com janela para mediastino. O diagnóstico do sequestro é realizado através da demonstração da origem anômala da vascularização por meio de angiotomografia ou angiografia convencional.
*****
Bronchiectasis may be associated with sequestration. The diagnosis of sequestration is performed by demonstrating the anomalous origin of the vasculature by angiotomography or conventional angiography.
DEIXE SEU COMENTÁRIO