PESQUISA DE IMAGENS

 

Central de Downloads

Encontre em nossa área de downloads vários arquivos e PDF, PPT, WORD, entre outros. Todos os arquivos com relevância para sua pesquisa.

Sessão Retrô

Artigos que contam a história da pneumologia.

ASBESTOSE 1

ASBESTOSE 1

Algumas opacidades difusas com densidade cálcica, que podem corresponder a placas pleurais. Placa maior de calcificação diafragmática à esquerda (seta vermelha), característica da exposição ao asbesto (amianto).Chaves: pneumoconiose.

*****

Some diffuse opacities with calcium density compatible with pleural plaques. Greater plaque calcification in the left diaphragm (red arrow) characteristic of asbestos exposure. Keys: pneumoconiosis, asbestosis; asbestos plaques; asbestos exposure.


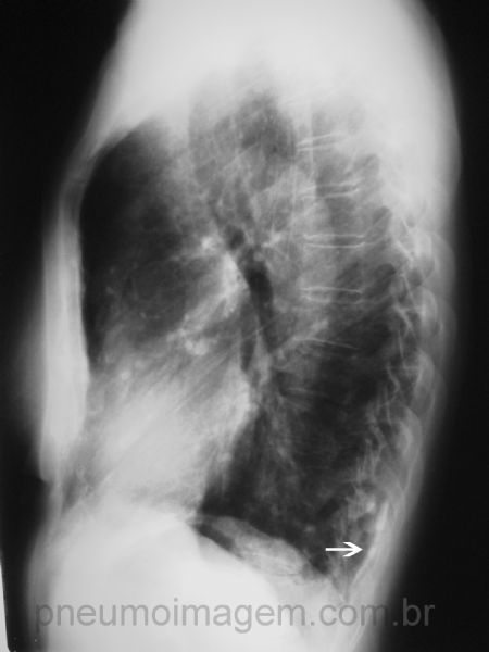
Pela incidência em perfil pode-se observar que as placas de calcificação pleural se estendem também para a região posterior (seta branca). As placas pleurais são características da exposição ao asbesto (amianto) e não necessariamente signifcam a doença asbestose.

*****

In lateral view it can be seen that the pleural plaques also extend to the posterior region (white arrow). Pleural plaques are characteristic of exposure to asbestos and does not necessarily imply the disease asbestosis.


Compartilhe: