
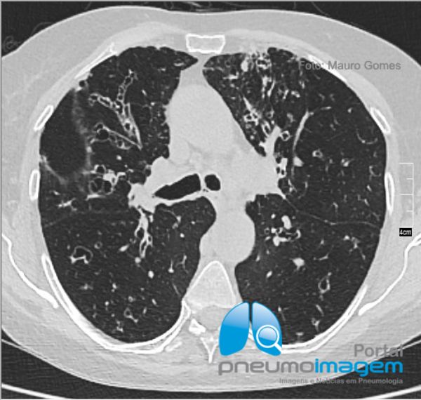
Na Aspergilose Broncopulmonar Alérgica (ABPA) as bronquiectasias são centrais. É possível ainda observar nesse corte tomográfico na região dos ápices vários nódulos centrolobulares. Na ABPA há eosinofilia (>500/mm³), IgE muito elevada (>1000 UI/ml), IgG anti-Aspergillus e IgE específica (RAST) contra Aspergillus também elevadas. A ABPA faz parte do diagnóstico diferencial da asma de difícil controle.
*****
In bronchopulmonary Allergic Aspergillosis (ABPA) bronchiectasis is central. It is also possible to observe in this tomographic section in the apical region several centrilobular nodules. In ABPA there is eosinophilia (> 500 / mm³), very high IgE (> 1000 IU / ml), anti-Aspergillus IgG and specific IgE (RAST) against Aspergillus also raised. ABPA is part of the differential diagnosis of difficult-to-control asthma.

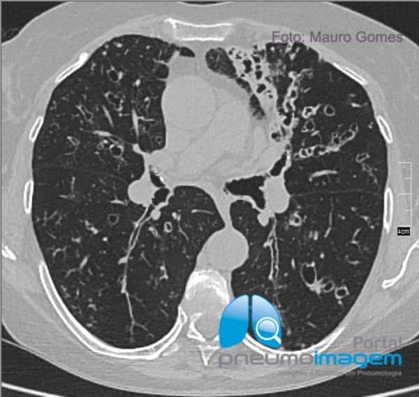
Neste corte tomográfico na região da carina é possível observar as bronquiectasias centrais e inúmeros nódulos centrolobulares que predominam no lobo médio e língula.
*****
In this tomographic section in the carina region it is possible to observe the central bronchiectasis and numerous centrilobular nodules that predominate in the middle lobe and lingula.

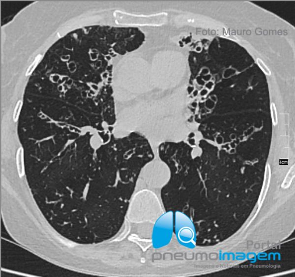
Bronquiectasias centrais nas regiões do lobo médio, lobo inferior direito, língula e lobo inferior esquerdo, além de nódulos centrolobulares difusos. As extensas bronquiectasias com impacção mucoide na língula determinam redução do volume desse segmento pulmonar.
*****
Central bronchiectasis in the regions of the middle lobe, right lower lobe, lingula, and lower left lobe, in addition to diffuse centrolobular nodules. The extensive bronchiectasis with mucoid impaction in língula determine lung volume reduction of that segment.

Bronquiectasias centrais e nódulos centrolobulares difusos em ambos os pulmões. Essa é uma paciente do sexo feminino, 65 anos, asmática grave desde a infância e com exacerbações frequentes. Dosagem de IgE 1212 UI. IgE-RAST para Aspergillus fumigatus classe 4. Espirometria com distúrbio ventilatório obstrutivo grave (FEV1=0,87L/min - 36%). Na ocasião desse exame estava com infecção crônica por Pseudomonas aeruginosa mucóide.
*****
Central bronchiectasis and diffuse centrilobular nodules in both lungs. Woman, 65, severe asthma since childhood and with frequent exacerbations. IgE 1212 IU. IgE-RAST for Aspergillus fumigatus class 4. Spirometry with severe obstructive ventilatory disorder (FEV1 = 0.87L / min - 36%). At the time of this examination was chronically infected with Pseudomonas aeruginosa mucoid.
DEIXE SEU COMENTÁRIO