
A Aspergilose Invasiva (AI) é rara e ocorre principalmente em hospedeiros imunocomprometidos. Neutropenia e uso prolongado de glicocorticoides são os fatores predisponentes mais comuns. AI leva ao óbito em 70-90 nos imunocomprometidos por leucemia ou transplante de células hematopoiéticas. Os achados tomográficos na AI são variáveis de acordo com o hospedeiro.
As lesões iniciais incluem nódulos (seta vermelha) circundados por áreas em vidro fosco (seta amarela), configurando o sinal do halo. O sinal do halo reflete hemorragia como resultado da trombose e necrose provocada pela presença das hifas dentro dos capilares.
*****
The Invasive Aspergillosis (IA) is rare and occurs mainly in immunocompromised hosts. Neutropenia and prolonged use of glucocorticoids are the most common predisposing factors. IA leads to death in 70-90 of patients immunocompromised by leukemia or hematopoietic cell transplantation.
CT findings in IA are variable according to the host. The early lesions include nodules (red arrow) surrounded by areas of ground glass (yellow arrow), setting the halo sign. The halo signal means hemorrhage as a result of thrombosis and necrosis caused by the presence of hyphae inside the capillaries.

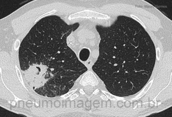
Os nódulos na Aspergilose Invasiva podem aumentar, mesmo durante a terapia, escavar e levar ao sinal da crescente, como ilustrado neste corte do mesmo paciente realizado após 15 dias. O sinal da crescente ocorre, em média, 13 dias após o diagnóstico de AI.
*****
The nodules may increase in Invasive aspergillosis, even during therapy, cavitate and generate the "crescent sign", as illustrated in this slice from the same patient after 15 days. The crescent sign occurs on average 13 days after the diagnosis of IA.
Fonte/source: Leão RC et al. Radiologia Brasileira 2006; 39(5):327-331.
DEIXE SEU COMENTÁRIO