
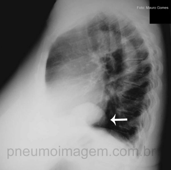
A Eventração Diafragmática (seta) é a elevação total ou parcial da cúpula do diafragma associada à perda de mobilidade, sem rompimento do músculo. Pode ser adquirida através de lesões do nervo frênico (traumas torácicos fechados, lesões iatrogênicas pós-cirúrgicas, tumores torácicos ou infecções) ou congênita (anomalia do desenvolvimento diafragmático muscular centrípeto).
*****
The Diaphragmatic Eventration (arrow) is the total or partial lifting of the diaphragm associated with loss of mobility, without disruption of the muscle. It can be acquired through the phrenic nerve injury (blunt chest trauma, post-surgical iatrogenic injuries, thoracic tumors or infections) or congenital (anomaly centripetal diaphragmatic muscle development).

Vista ao perfil, a Eventração Diafragmática (seta) não pode ser confundida com a Hérnia Diafragmática (herniação do conteúdo abdominal para a cavidade torácica através de abertura anormal no diafragma).
*****
The Diaphragmatic Eventration (arrow) can not be confused with Diaphragmatic Hernia (herniation of abdominal contents into the chest cavity through an abnormal opening in the diaphragm).

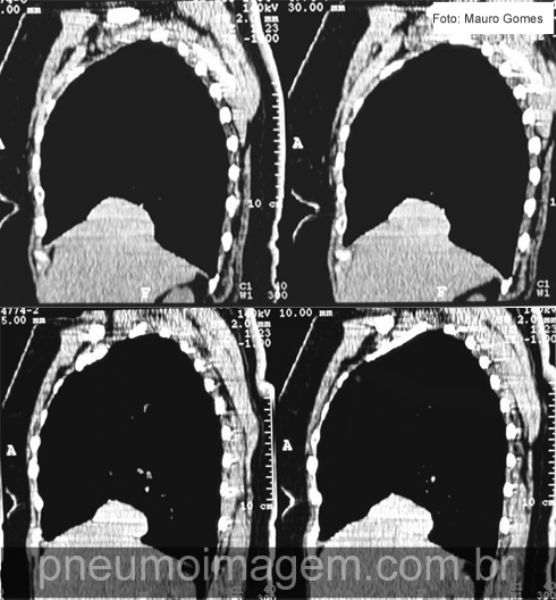
Cortes tomográficos demonstrando o fígado invaginando-se para dentro da cavidade torácica, mas sem lesão do diafragma. Na eventração diafragmática o diafragma mantém sua continuidade e a inserção na margem costal.
Apesar da diminuição na força inspiratória, muitos pacientes conseguem manter uma ventilação minuto e oxigenação sanguínea dentro da normalidade, mesmo ao esforço, e não apresentam sintomas. Isso acontece devido ao maior recrutamento da musculatura inspiratória acessória, do diafragma não afetado e da musculatura expiratória abdominal.
*****
CT slices showing the liver into the chest cavity, but without diaphragm injury. In eventration diaphragmatic diaphragm maintains its continuity and the inclusion in the costal margin.
Despite the decrease in inspiratory force, many patients can maintain a ventilation / minute and blood oxygenation within the normal range, even the effort, and no symptoms. This is due to increased recruitment of accessory inspiratory muscles, increased recruitment of unaffected diaphragm and abdominal expiratory muscles.

Cortes tomográficos em perfil demonstram a elevação do diafragma. Mesmo com os mecanismos compensatórios ativos, o diafragma afetado gera uma diminuição em torno de 20% na ventilação e perfusão do pulmão correspondente. Quando há sintomas, geralmente a dispneia é o mais evidente. Nesses casos, a plicatura do diafragma pode aliviar os sintomas.
*****
CT slices in lateral view shows the elevation of the diaphragm. Even with the active compensatory mechanisms, the affected diaphragm generates a decrease of around 20% in ventilation and perfusion of the corresponding lung. When there are symptoms, usually dyspnea is the most obvious. In such cases, the plication of the diaphragm can relieve symptoms.
3 COMENTÁRIOS
Jose silva
Lisboa - Portugal - 03/04/2017 09:50Regina M. Santos
Clinica médica
Nova Iguaçu-Rj - Rio de Janeiro - 05/07/2016 07:36JOAO FREITAS
medicina interna
FUNCHAL - Portugal - 23/02/2016 20:20DEIXE SEU COMENTÁRIO