
Observe o limite da borda cardíaca à esquerda (seta branca) e um segundo contorno delimitando a hérnia hiatal (seta preta).
Existe uma pequena boceladura no diafragma à direita que pode corresponder a uma eventração diafragmática.
Chaves: Chaves: hérnia de hiato; gastroesophageal reflux disease (GERD); hiatal hernia (black arrow).

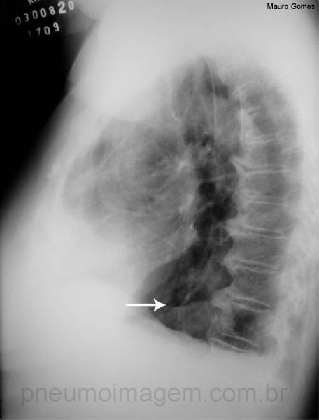
Pela radiografia em perfil, a hérnia de hiato pode ser observada posteriormente ao coração (seta branca). Observe o nível hidraéreo do conteúdo gástrico, que pode ser confundido com abscesso pulmonar.
Chaves: nível líquido; bolha gástrica; estômago; gastric air bubble; stomach.

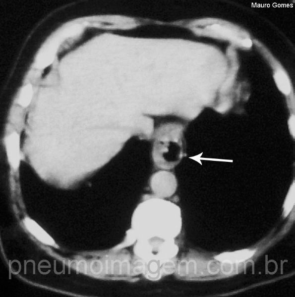
Neste corte tomográfico pode-se observar a hérnia hiatal (seta branca).
Chaves: hiatus hernia (white arrow), sliding hiatus hernia (white arrow); hiatal hernia.
DEIXE SEU COMENTÁRIO