
Na incidência da radiografia em PA da ruptura do diafragma esquerdo observa-se a herniação das vísceras ocas para a cavidade torácica (seta). A ruptura traumática do diafragma é uma condição rara (ocorre em aproximadamente 5% dos traumas contusos) resultante de impacto, com aumento da pressão intra-abdominal e lesão frênica. A presença de víscera oca dentro do tórax é o sinal mais fidedigno de lesão da hemicúpula esquerda, sendo o estômago e o cólon as vísceras que mais freqüentemente herniam.
*****
In the rupture of the left diaphragm we observe the herniation of the hollow viscera to the thoracic cavity (arrow). Traumatic rupture of the diaphragm is a rare condition (occurring in approximately 5% of trauma), resulting from impact, with increased intra-abdominal pressure and phrenic injury. The presence of hollow viscera inside the thorax is the most reliable sign of lesion of the left diaphragm, with the stomach and colon being the viscera that most frequently herniated.

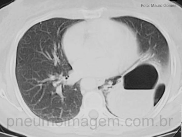
No corte tomográfico observa-se hérnia intratorácica do estômago e cólon. A grande maioria das rupturas diafragmáticas por trauma contuso (80%-90%) ocorre do lado esquerdo. Os sinais e sintomas, inclusive radiológicos, não são específicos e a maioria das lesões não é diagnosticada prontamente. Assim, a ruptura diafragmática pode não ser reconhecida e tratada imediatamente, resultando em herniação progressiva das estruturas abdominais para o interior do tórax que pode levar anos e determinar estrangulamento visceral, com morbidade alta. As lesões diafragmáticas à direita, embora menos freqüentes, estão associadas a lesões mais graves e maior instabilidade hemodinâmica.
*****
In this section we can see intrathoracic hernia of the stomach and colon. The vast majority of diaphragmatic ruptures due to blunt trauma (80% -90%) occur on the left side. Signs and symptoms, including radiologic, are not specific and most of the lesions are not diagnosed promptly. Thus, diaphragmatic rupture may not be recognized and treated immediately, resulting in progressive herniation of abdominal structures into the chest that may take years and determine visceral strangulation with high morbidity. Right diaphragmatic lesions, although less frequent, are associated with more severe lesions and greater hemodynamic instability.
2 COMENTÁRIOS
JANAINA BRUGNERA GOTO
Cardiologia
CURITIBA - PARANÁ - 11/07/2017 08:57Julio cesar mendes de Oliveira
Pneumologia
Cascavel - PR - 27/05/2017 20:05DEIXE SEU COMENTÁRIO