PESQUISA DE IMAGENS

 

Central de Downloads

Encontre em nossa área de downloads vários arquivos e PDF, PPT, WORD, entre outros. Todos os arquivos com relevância para sua pesquisa.

Sessão Retrô

Artigos que contam a história da pneumologia.

SÍNDROME DE SJOEGREN

SÍNDROME DE SJOEGREN

A síndrome de Sjögren (SS) primária é também conhecida como síndrome “sicca” ou seca e é uma das três doenças sistêmicas autoimunes mais comuns. É uma epitelite autoimune e a maioria dos pacientes apresenta curso lento e benigno. A forma primária não se associa a outras doenças autoimunes e as manifestações iniciais podem ser inespecíficas com poucos sintomas reumáticos.

O envolvimento pulmonar afeta cerca de 10% dos casos e pode ser a primeira manifestação da doença, sendo a fibrose intersticial e a xerotraqueia as mais comuns. A bronquiolite obstrutiva resulta da invasão linfocítica no epitélio. O infiltrado linfocítico no parênquima caracteriza a pneumonia intersticial linfocítica (PIL, LIP) e tem como maior complicação da doença o linfoma pulmonar.

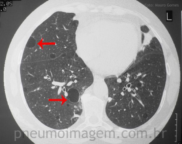
Os achados mais comuns na TC são opacidade em vidro fosco (seta amarela), consolidação e cistos de paredes finas (seta vermelha). Neste caso, as opacidades em vidro fosco estão associadas a nódulos centrolobulares (seta amarela), o que pode representar hiperplasia linfóide associada ao brônquio, compatível com bronquiolite folicular.

O Consenso Americano-Europeu estabelece como critérios para a doença a avaliação de manifestações da síndrome seca, a presença de autoanticorpos anti-Ro (SSA) e anti-La (SSB) e achados histopatológicos de glândulas salivares. A PIL é geralmente associada à síndrome de Sjögren em adultos e à infecção por HIV em crianças.
Chaves: colagenose, doenças do colágeno.


Sjögren syndrome (SS) is also known as "sicca" syndrome and is one of the three most common systemic autoimmune diseases. It is an autoimmune epitelite and most patients have slow and benign course. The primary form is not associated with other autoimmune diseases and initial symptoms may be nonspecific with few rheumatic symptoms.

Pulmonary involvement affects about 10% of cases and may be the first manifestation of the disease, interstitial fibrosis and xerotraqueia are the most common. Obstructive bronchiolitis is a result of lymphocytic invasion of epithelium. The lymphocytic infiltrate in the parenchyma characterizes lymphocytic interstitial pneumonia (LIP, LIP) and has the most severe complication of the disease is pulmonary lymphoma. The most common CT findings are ground-glass opacity (yellow arrow), consolidation and thin-walled cysts (red arrow).

In this case, the ground-glass opacities appear to be associated with centrilobular nodules (yellow arrow), which may represent lymphoid hyperplasia associated with bronchus, compatible with follicular bronchiolitis. Keys: collagenosis; autoimmune disease.

The American-European Consensus establishes the criteria for the assessment of disease manifestations of sicca syndrome in the presence of autoantibodies anti-Ro (SSA) and anti-La (SSB) and histopathological findings of salivary glands. The LIP is generally associated with Sjögren syndrome in adults and HIV infection in children. The most common CT findings are ground-glass opacity (yellow arrow), consolidation and thin-walled cysts (red arrow).


Compartilhe:
Parabéns pelo site. Muito esclarecedor.

josue

Estudante

Ponta Grossa - PR - 10/11/2013 00:33