
Detalhe de radiografia de tórax com pulmão em favo de mel.
*****
Detail of chest X-ray with lung on honeycomb.

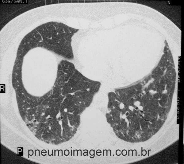
Detalhe de corte tomográfico com distorção da arquitetura pulmonar com bronquiectasias de tração.
*****
Detail showing distortion of pulmonary architecture with traction bronchiectasis.

Opacidades em vidro fosco na periferia pulmonar das regiões inferiores e posteriores.
*****
Ground-glass opacities in the lung periphery of the lower and posterior regions.

Alterações intersticiais pulmonares bilaterais difusas e com predomínio nas regiões subpleurais dos lobos inferiores, caracterizadas por espessamento septal interlobular, reticulado, bronquiolectasias de tração, bronquiectasias de tração e faveolamento. Esse é o padrão de pneumonia intersticial usual (PIU), característica da Fibrose Pulmonar idiopática (FPI).
*****
Diffuse biliary interstitial changes with predominance in the subpleural regions of the lower lobes, characterized by interlobular septal thickening, traction bronchiolectasis, traction bronchiectasis and honeycombing. This is the pattern of usual interstitial pneumonia (UIP), characteristic of idiopathic pulmonary fibrosis (IPF).
1 COMENTÁRIOS
JORGE EDUARDO MANHÃES DE CARVALHO
Médico(a)
Niterói - Rio de Janeiro - 25/07/2022 17:41DEIXE SEU COMENTÁRIO