
A amiodarona se acumula no pulmão em grande parte nos macrófagos e pneumócitos do tipo 2. A doença intersticial é droga-induzida e pode se desenvolver desde alguns dias após uma dose inicial até após muitos anos de tratamento. A prevalência pode chegar a 15% dos usuários da droga e o risco aumenta com doses diárias maiores que 400mg e com a idade maior de 60 anos. Nesta radiografia se observam opacidades lineares difusas, bilaterais e com predomínio nos dois terços inferiores de ambos os pulmões.
*****
Amiodarone accumulates in the lung largely in macrophages and type 2 pneumocytes. Interstitial disease is drug-induced and may develop from a few days after an initial dose until after many years of treatment. The prevalence can reach 15% of drug users and the risk increases with daily doses greater than 400mg and with the age greater than 60 years. This radiograph shows diffuse, bilateral bilateral opacities with predominance in the lower two thirds of both lungs.

Os achados na TCAR variam desde dano alveolar difuso a até BOOP ou PINE (pneumonia intersticial não específica). Neste corte observamos áreas em vidro fosco de predomínio periférico com opacidades reticulares e faveolamento menos intenso que na fibrose pulmonar idiopática.
*****
The HRCT findings of pulmonary lesions from amiodarone range from diffuse alveolar damage to BOOP or NSIP (non-specific interstitial pneumonia). In this CT slice we observe areas of ground glass of peripheral predominance with reticular opacities and less intense honeycombing than in idiopathic pulmonary fibrosis.
.jpg)
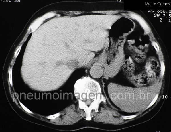
A amiodarona também se acumula no fígado e o órgão pode aparecer mais denso. A atenuação hepática aumentada pode ocorrer nos indivíduos tratados pela droga mesmo na ausência de toxicidade medicamentosa.
*****
Amiodarone also accumulates in the liver and the organ may appear thicker. The increased hepatic attenuation may occur in subjects receiving the drug even in the absence of drug toxicity.
DEIXE SEU COMENTÁRIO