
A macrodantina é um antibiótico do grupo das nitrofurantoínas e frequentemente usado para infecções do trato urinário. A droga pode levar a doença intersticial pulmonar como o observado nesta radiografia: opacidades intersticiais com predomínio nas bases.
*****
Macrodantine is an antibiotic of the group of nitrofurantoins and frequently used for urinary tract infections. The drug may lead to pulmonary interstitial disease as observed in this radiograph: interstitial opacities with predominance in the bases.
Chaves: macrodantin; interstitial lung disease.

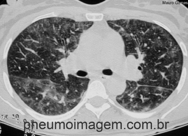
Corte tomográfico em alta resolução (TCAR) com opacidades irregulares em vidro fosco difusas e bilaterais.
*****
High resolution tomographic (HRCT) slices with irregular diffuse and bilateral ground glass opacities.
Chaves: vidro despolido.

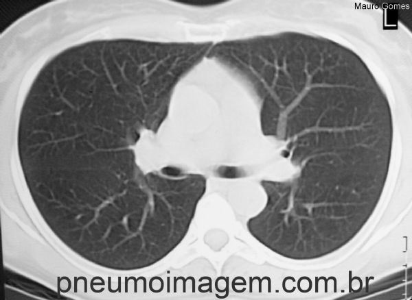
Mesmo paciente em corte tomográfico realizado na mesma altura da imagem anterior e após a suspensão da droga e uso de corticóide. Houve regressão total das lesões pulmonares.
*****
Tomographic slice performed in the same area the previous image. After suspension of the drug and use of corticoid, there was a total regression of the lung lesions.
DEIXE SEU COMENTÁRIO