
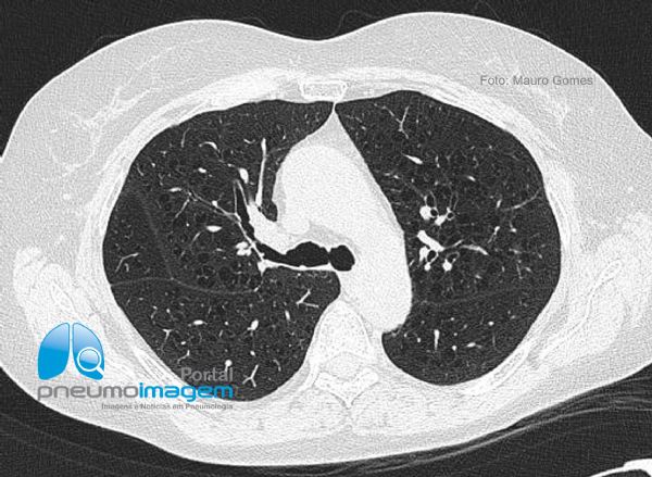
O enfisema centrolobular, ou centroacinar, é o tipo de enfisema mais comum e é consequente à dilatação ou destruição dos bronquíolos respiratórios. No enfisema centrolobular há múltiplas pequenas lucências de paredes finas. Quando ocorre uma pneumonia em paciente com enfisema, a imagem resultante pode ser confundida com o faveolamento pulmonar observado em casos de Fibrose Pulmonar, como neste corte das regiões superiores.
***
Centrilobular emphysema, or centroacinar emphysema, is the most common type of emphysema and is consequent to the dilation or destruction of respiratory bronchioles. In centrilobular emphysema there are multiple small thin-walled lucencies. When pneumonia occurs in a patient with emphysema, the resulting image can be confused with the pulmonary honeycombing observed in cases of pulmonary fibrosis, as in this slice of the upper regions.

Após o tratamento e a resolução da infecção, pode-se observar as áreas de enfisema centrolobular e que claramente não há doença intersticial pulmonar.
***
After treatment and resolution of the infection, the areas of centrilobular emphysema can be seen and there is clearly no interstitial lung disease.
DEIXE SEU COMENTÁRIO